Request Appointment

Treatment and Services

Becoming a patient of Dr. Goslin's means establishing a relationship with a team of professionals who will care for your teeth and general oral health with a breadth of treatments unlike that of most general dentist offices.

Choose Your Treatment

Patients who visit twice a year for routine dental cleanings see the same highly trained and experienced hygienist as those patients in need of advanced periodontal maintenance.

Each patient receives enough time and personal attention from Dr. Goslin and his team to forge the relationships and understanding of each other that enables precise and comprehensive diagnoses, treatments and satisfying results.

As a Fellow in the Academy of General Dentistry and in the International Congress of Oral Implantologists, Dr. Goslin prides himself on taking care of his patients throughout their lifetimes and all of their varying needs.

Patients who visit twice a year for routine dental cleanings see the same highly trained and experienced hygienist as those patients in need of advanced periodontal maintenance.

Our Treatments

  • Hygiene and Periodontal cleaning appointments
  • We offer non surgical periodontal care including laser assisted cleaning,and Arestin antibiotic therapy which can help reduce or reverse gum pocketing and bleeding
  • Oral hygiene instruction
  • Fluoride treatments and remineralization techniques
  • Trays for Dry Mouth
  • Bite splint / Bruxism Appliances

Tooth colored composite resin fillings (white)

Amalgam fillings (silver fillings)
Direct and Indirect gold fillings. There is a reason they call it the gold standard. Nothing lasts longer and is more biocompatible in the mouth than gold. Many dental professionals seek out Dr. Goslin to perform gold restorations in their teeth as they know of his proficiency in this area and appreciate the longevity of gold.

Detail

Root canal therapy: Trauma or infection can irreversibly damage the nerve of a tooth. A root canal is performed to save the tooth and stop the pain and infection by removing of the terminal end of the nerve from the tooth root. The root is then backfilled with a medicated filling to ensure healing and preservation of the natural tooth. Often these teeth require crowns after the root canal procedure to support the

Detail

Crowns (gold, porcelain and implant crowns): Crowns, also known as caps, cover and restore a broken down tooth to its normal shape and size. A crown is necessary when the tooth has a deep fracture or if the tooth has a very large filling that can undermine the remaining structure. The crown will support the tooth and restore its appearance if it is discolored or misshapen. A crown is also used to cover a dental implant with a replacement tooth.

Bridges: Sometimes called a fixed partial denture, a bridge replaces missing teeth and literally bridges the gap where one or more teeth have been lost. The restoration can be made from gold, alloys, porcelain or a combination of these materials and is bonded onto surrounding teeth for support.

Inlays and Onlays: Some teeth require a restoration that is between a filling and a crown. When enough of the supporting tooth structure can be preserved, and inlay or onlay can provide the same support as a crown while leaving the remaining tooth uncovered. These restorations are fabricated out of gold or porcelain in a lab and fitted into the tooth permanently.

Detail

Surgical placement of implants: Implants are replacement tooth roots made out of medical-grade titanium, just like an artificial knee or hip. These are placed into the jaw bone and allowed to heal before restoring with a permanent replacement tooth. Dr. Goslin provides full-service implant therapy from extraction and bone grafting to surgical placement of the implant and final restoration.Dental Implant overview video

Restoration of existing implants: Some patients already have previously placed implants that require restoration, or they need a new or different prosthesis. Under certain circumstances, Dr. Goslin can convert removable dentures into fixed crowns and bridges.Coordination with surgical specialists: There are cases that require implant placement at a specialist's facility depending on the patient's desire for full sedation or other variables. In this event, Dr. Goslin integrates his preparation and final restoration plan with the surgical portion performed by the specialist.

Smile Design: If you have always wanted to change the appearance of your smile, Dr. Goslin can consult with you to develop a plan to achieve your ideal results by reshaping, restoring or replacing tooth structure with tooth-colored bonding, crowns or veneers. Periodontal procedures can address gum line inconsistencies and orthodontics can correct a deep or open bite.

Detail

Invisalign and other clear aligner systems: These removable tray systems allow you to straighten your teeth without having stainless steel brackets and wires. Learn more at invisalign.com. Also see resources at the bottom of the page.

Detail

Gum grafts: To remedy severe gum recession and/or improve cosmetic appearance.

Frenectomy:
Surgical repositioning of lip muscle attachments to prevent recession.
Repair and maintenance of the supporting tissues (gums and bone) around the teeth.

Determine your Periodontal Risk Status here.

Detail

Oral appliances to open the airway to help alleviate sleep apnea and severe snoring.CPAP - Continuous Positive Air Pressure Device.  Considered standard treatment for Moderate to Severe Apnea.

For Mild to Moderate Apnea, this style of oral device is often much better tolerated.

Detail

Care and management of temporomandibular joint disorder (TMD) through diagnostic imagery and comprehensive examination.

Detail

This is a mini cat scanner for the teeth and jaws that enables diagnosis of abnormalities and evaluation of the joints and airway that is not possible with standard radiography. It is also used for surgically guided CAD/CAM implant placement.

Invisalign

For more information on Invisalign, Please visit the Invisalign web site.

This is a mini cat scanner for the teeth and jaws that enables diagnosis of abnormalities and evaluation of the joints and airway that is not possible with standard radiography. It is also used for surgically guided CAD/CAM implant placement.

These appliances can be supported by teeth, crowns, implants or a combination thereof.They tend to be a more economical way to fix your smile if you have multiple missing teeth.

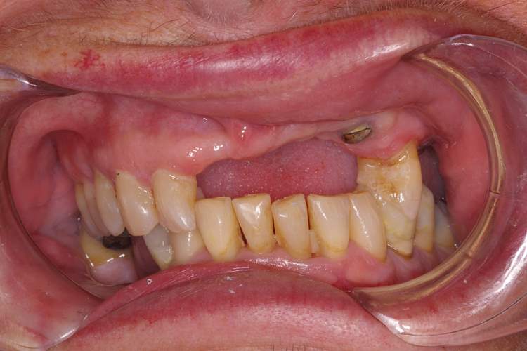
Before
Gum Recession and old Crowns

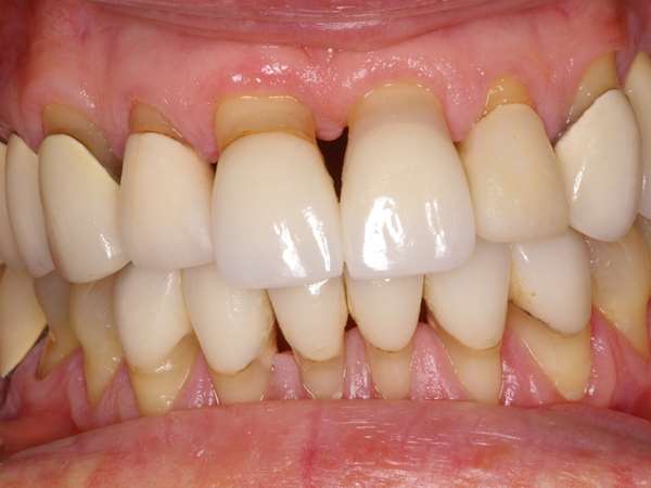
After
New Crowns -
filled in areas of receded gums

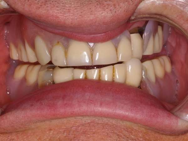
Before
Removable Partial Dentures

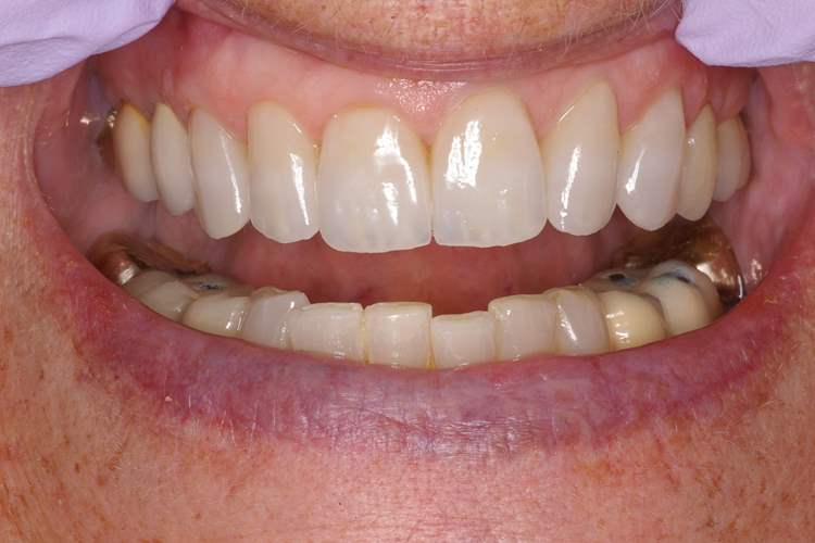
After
Non-Removable Implant
supported teeth

Before
Before Kor Whitening

After
After Kor Whitening

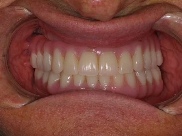
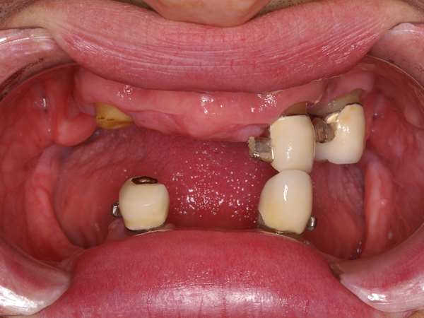
Before
Broken crowns that were supporting
removable partial dentures.

After
Permanent non-removable teeth
supported and retained
by dental implants.

Detail

Detail

The Perio Protect Method® is an effective, sensible approach to treating bacteria that cause gum disease. At the heart of the Method is the adjunctive Perio Tray® delivery of medication. The basic idea is to get medication under the gums and into the pockets where bacteria grow and keep it there long enough for the medication to work, all in a comfortable, non-invasive way. Not a simple task. That’s why the Perio Tray is such an important advancement.

Detail

Detail

  • Crowns and Bridges are fixed prosthetic devices that are cemented onto existing teeth or implants.
  • Crowns are used most commonly to entirely cover or "cap" a damaged tooth or cover an implant.
  • Bridges are commonly used to cover a space if you’re missing one or more teeth. They are cemented to natural teeth or implants surrounding the space where the tooth once stood.
  • Porcelain or ceramic crowns can be matched to the color of your natural teeth.
  • Other materials include gold and metal alloys, acrylic and ceramic. These alloys are generally stronger than porcelain and may be recommended for back teeth.
  • In addition to strengthening a damaged tooth, bridges and crowns can be used to improve a tooth’s appearance, shape, alignment and dental occlusion (bite). Gaps left by missing teeth can cause the remaining teeth to shift, which can result in a bad bite. Bridges and crowns help prevent this from happening.