Restorative Care
Bringing back your smile with fillings, crowns, bridges, and implants.


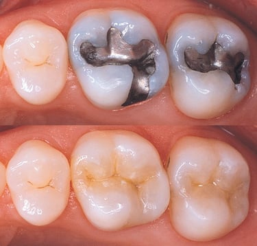
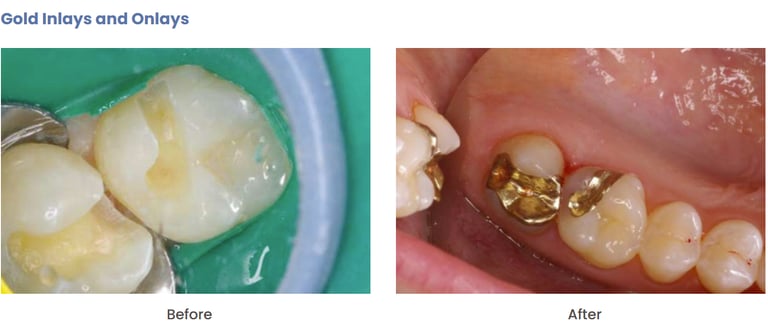
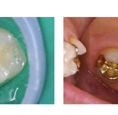
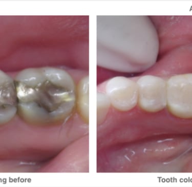
Fillings
Repair small cavities to protect your natural teeth.
Crowns
Caps that restore strength and shape to damaged teeth.
Bridges
Replace missing teeth to complete your smile.









