Our Amazing Results
Veneers
Our personalized design solutions turn your dreams into reality.






Smile Makeover
Crowns, Veneers, Implants
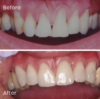
Gum Grafting and Veneers


Ricky
Aligner Orthodontics, Whitening, Cosmetic bondings


Our personalized design solutions turn your dreams into reality.






Crowns, Veneers, Implants



